آخرین بهروزرسانی: ۱۴۰۴/۱۱/۲۲ ساعت ۲۲:۳۹
پاسخ کوتاه: گاهی بله، اما اغلب نه — مخصوصاً در مراحل اولیه.
چرا پوسیدگی بین دندانی پنهان میماند؟
پوسیدگی بین دندانی (Interproximal caries) در ناحیهای ایجاد میشود که دو دندان به هم چسبیدهاند. این قسمت:
- با چشم مستقیم دیده نمیشود
- با آینه هم محدود دیده میشود
- معمولاً تا مدتها علامت واضحی ایجاد نمیکند
مینای دندان از بیرون ممکن است کاملاً سالم به نظر برسد، در حالی که زیر آن، عاج دندان در حال تخریب است. پوسیدگی دقیقاً مثل موریانهای است که داخل چوب کار میکند؛ سطح بیرونی شاید سالم باشد، اما داخل در حال فروپاشی است.

چه زمانی بدون عکس میتوان شک کرد؟
دندانپزشک ممکن است با این نشانهها به پوسیدگی بین دندانی مشکوک شود:
- گیر کردن مداوم نخ دندان در یک نقطه
- پاره شدن نخ دندان بین دو دندان خاص
- بوی بد موضعی
- تغییر رنگ خاکستری یا سایه تیره در کناره دندان
- حساسیت به شیرینی یا سرما
اما اینها نشانههای احتمالی هستند، نه تشخیص قطعی.

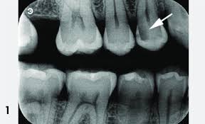
نقش عکس بایتوینگ در تشخیص
برای تشخیص دقیق پوسیدگی بین دندانی، معمولاً از رادیوگرافی بایتوینگ استفاده میشود. این نوع عکس:
- نواحی تماس بین دندانها را واضح نشان میدهد
- عمق پوسیدگی را مشخص میکند
- تفاوت بین پوسیدگی سطحی و درگیر شدن عصب را نشان میدهد
در بسیاری از موارد، پوسیدگیهایی که در عکس دیده میشوند، در معاینه چشمی اصلاً قابل مشاهده نیستند.

آیا همیشه نیاز به عکس هست؟
اگر بیمار علامت واضحی نداشته باشد و پوسیدگی سطحی باشد، ممکن است در مراحل خیلی اولیه فقط پایش شود. اما در بیشتر موارد، مخصوصاً اگر:
- فاصله بین دندانها تنگ باشد
- سابقه پوسیدگی زیاد وجود داشته باشد
- بیمار حساسیت جدید تجربه کند
گرفتن عکس برای تشخیص دقیق توصیه میشود.

خطر تأخیر در تشخیص
پوسیدگی بین دندانی معمولاً دیر علامت میدهد. وقتی درد شروع میشود، اغلب پوسیدگی به عاج رسیده یا حتی به عصب نزدیک شده است. در این مرحله ممکن است به جای یک پرکردگی ساده، نیاز به درمان ریشه ایجاد شود.
جمعبندی ساده اما مهم:
بدون عکس میتوان «مشکوک» شد، اما برای تشخیص قطعی معمولاً رادیوگرافی لازم است. چشم انسان محدود است؛ اشعه ایکس محدودیت ندارد.


